Company Updates: Spring 2026
At StressMarq Biosciences, we are dedicated to advancing the frontiers of neurodegenerative disease research through continued quality and innovation. As a trusted supplier of research tools for neuroscience and neurodegenerative disease research, our mission is to provide scientists with highly validated reagents that enable reproducible experiments and accelerate discovery. From protein aggregates to antibodies and assay kits, our portfolio continues to expand to meet the evolving needs of the scientific community.
This spring, we are excited to showcase a number of recently launched products designed to support cutting-edge research in Alzheimer’s disease, Parkinson’s disease, ALS, and related neurodegenerative disorders.
New Products 🌟

AFM analysis of Cynomolgus Alpha Synuclein PFFs (catalog# SPR-528) diluted to 0.1 mg/mL with dH2O mounted on freshly cleaved mica, washed, dried and analyzed with tapping mode.
Cynomolgus Alpha Synuclein PFFs & Monomers: Biotinylated (C-terminus)
Cynomolgus monkey alpha synuclein closely resembles its human counterpart, making it an excellent model for studying aggregation, phosphorylation, and synucleinopathies.
![Mouse Anti-Alpha Synuclein Oligomer Antibody [9D2] used in Dot Blot (DB) on Human (SMC-622)](https://www.stressmarq.com/wp-content/uploads/SMC-622_Alpha-Synuclein-Oligomer_Antibody_9D2_DB_Human_1-300x181.png)
Dot blot analysis comparing binding affinity of StressMarq’s Alpha Synuclein Oligomer Antibody [9D2] (catalog# SMC-622) on 10, 50, and 100 ng of StressMarq’s Alpha Synuclein Monomers (Type 1) (catalog# SPR-321), PFFs (Type 1) (catalog# SPR-322), and Dopamine-Stabilized Oligomers (catalog# SPR-466).
Alpha Synuclein Oligomer Antibody [9D2]
(Catalog# SMC-622)
Alpha synuclein oligomers are soluble, neurotoxic assemblies of the pre-synaptic protein and are increasingly recognized as early drivers of pathology in neurodegenerative disease.
Our Alpha Synuclein Oligomer Antibody demonstrates a higher affinity to oligomers than to PFFs or monomers.

Representative TEM image of Tau (K18) Wild-Type PFFs (catalog# SPR-525), 200 nm scale.
Tau (K18) Wild-Type PFFs & Monomers
The tau K18 fragment, which includes the four microtubule-binding repeat domains of tau, is frequently used in experimental models due to its propensity to form fibrillar aggregates.

Representative TEM image of Tau (K18) P301L Mutant PFFs (catalog# SPR-523), 500 nm scale.
Tau (K18) P301L Mutant PFFs (fibrillized without heparin)
(Catalog# SPR-523)
The tau P301L mutation, located within the repeat domain, increases the protein’s propensity to aggregate and seed, making it a key variant for modeling tau pathology.
StressMarq’s Tau (K18) P301L Mutant PFFs are fibrillized without heparin and have been demonstrated to be neurotoxic to primary mouse cortical neurons.

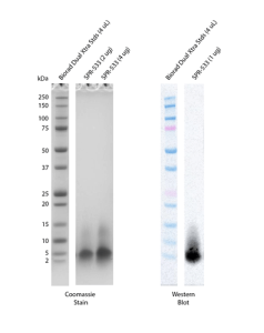
SDS-PAGE analysis of Amyloid Beta 1-40 C-Term Cysteine Monomers (catalog# SPR-533) on a 4-12% Bis-Tris gel (left). Western Blot (right) performed using an anti-amyloid beta 1-16 monoclonal antibody [6E10] (Biolegend, Cat# 803012) at 1:1000.
Amyloid Beta Peptide 1-40 + C-term Cysteine Monomers
(Catalog# SPR-533)
Amyloid Beta Peptide 1-40 Monomers
(Catalog# SPR-530)
StressMarq’s Product Development Strategy
The development of new StressMarq products rarely starts in isolation. Instead, it is driven by an ongoing dialogue between our scientists and the global research community. Several key pathways help guide our product development strategy.
Customer Feedback and Requests 💬
Our customers are among the most important drivers of innovation. Researchers often approach StressMarq with ideas for new variants, species-specific proteins, or tagged constructs that would enhance their experiments. Many valuable additions to the StressMarq catalog originally began as custom product requests. Researchers frequently require unique constructs, variants, or modifications that are not yet commercially available. When a custom request reveals a broader scientific need, our team works to optimize and validate the reagent for wider distribution.
These requests provide valuable insight into real-world experimental challenges, allowing us to design reagents that address specific gaps in the market. To submit a request for a custom modification or bespoke neurodegenerative protein, please visit complete the corresponding Custom Request Form on our website.
Insights from Scientific Literature 🔍
With the pace of discovery in neurodegeneration research accelerating rapidly, our scientific team continually reviews newly published studies to identify emerging research trends and experimental needs.
The growing emphasis on protein aggregation and prion-like propagation mechanisms in neurodegenerative diseases has led to increased demand for reagents such as oligomers, pre-formed fibrils, and monomers of proteins including alpha synuclein, tau, amyloid beta, TDP-43, TTR, and SOD1. These protein aggregates play a central role in disease pathology and are widely used to model disease mechanisms and screen potential therapeutics.
By aligning product development with cutting-edge literature, we ensure that our tools remain relevant to the most pressing scientific questions. Our newly launched Product Citations Hub enables researchers to quickly explore the latest publications using StressMarq’s tools for neurodegeneration research.
Monitoring Industry Trends 📈
Beyond individual requests and publications, StressMarq carefully analyzes broader trends in neuroscience and biotechnology. As research increasingly focuses on disease mechanisms involving protein aggregation, cellular stress responses, and neuroinflammation, the demand for specialized reagents continues to grow. By continuously monitoring the scientific landscape, we are able to anticipate future research needs and develop reagents before they become widely demanded.
Scientific meetings are another powerful source of inspiration. By regularly attending premier international neurodegeneration conferences, our team stays closely connected to emerging research directions, new experimental technologies, and evolving scientific needs.
In Spring 2026, StressMarq will participate in two important international meetings, including the AD/PD 2026 International Conference on Alzheimer’s and Parkinson’s Diseases, which will take place from March 17-21 in Copenhagen, Denmark. This leading conference brings together thousands of scientists from around the world to discuss the latest advances in neurodegenerative disease research, from disease mechanisms to biomarker discovery and therapeutic development.
We are also looking forward to the Tau Global Conference 2026, where researchers will gather to explore the latest insights into tau biology, biomarkers, and therapeutic strategies.
Attending and exhibiting at these events allows our team to learn directly from researchers at the forefront of discovery, helping us identify new opportunities to develop reagents that address emerging experimental needs while nurturing our relationships within the scientific community.
Unable to connect with us at our spring conferences? With a busy 2026 conference schedule taking us to the United States, Spain, and the UK, please visit our Conferences & Meetings page to see where StressMarq will be next.
Looking Ahead
The future of neurodegeneration research depends on reliable, well-characterized tools that enable scientists to explore complex biological mechanisms with confidence. Whether a new product begins as a custom request, an insight from the literature, or a conversation at a conference, each addition to the StressMarq catalog reflects our commitment to supporting the global research community.
As we continue to expand our portfolio in 2026 and beyond, we look forward to connecting with researchers at conferences, through collaborations, and through the ongoing exchange of ideas that drives scientific progress.


Leave a Reply